발가락 골절 완치 기간과 수술비용: 손가락 뼈에 금이 가면 깁스 치료는 필요한가?
발가락 골절은 언뜻 보면 가벼운 부상처럼 느껴질 수 있지만, 이것이 일상생활에 어떤 영향을 미치는지, 어떤 치료가 필요한지, 그리고 이에 따른 비용은 얼마나 드는지를 정확하게 알아야 합니다. 본 포스트에서는 발가락 골절의 다양한 양상과 치료 방법, 그리고 그에 따른 비용에 대해 자세히 알아보겠습니다.

발가락 골절의 다양한 양상
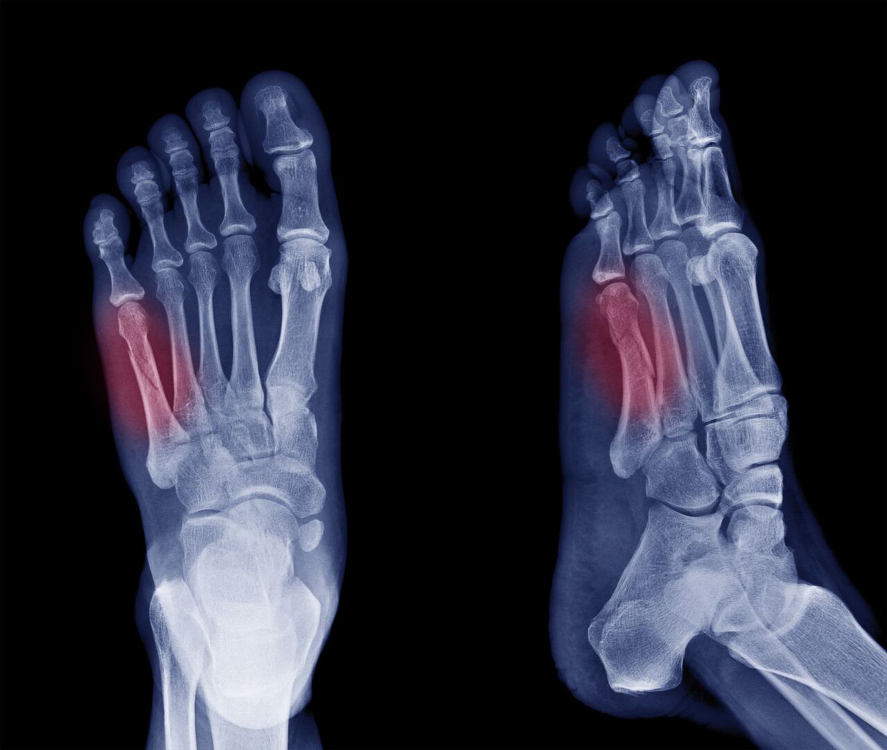
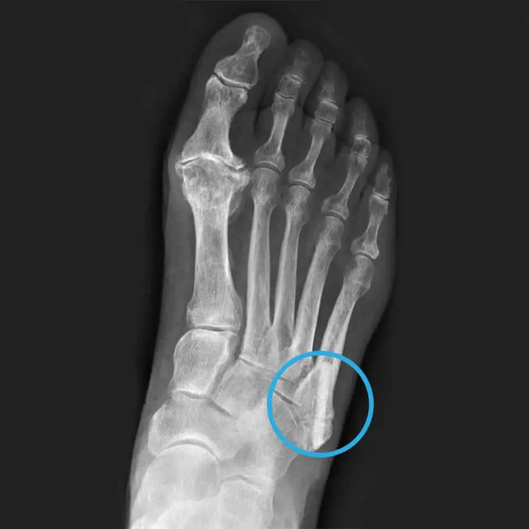
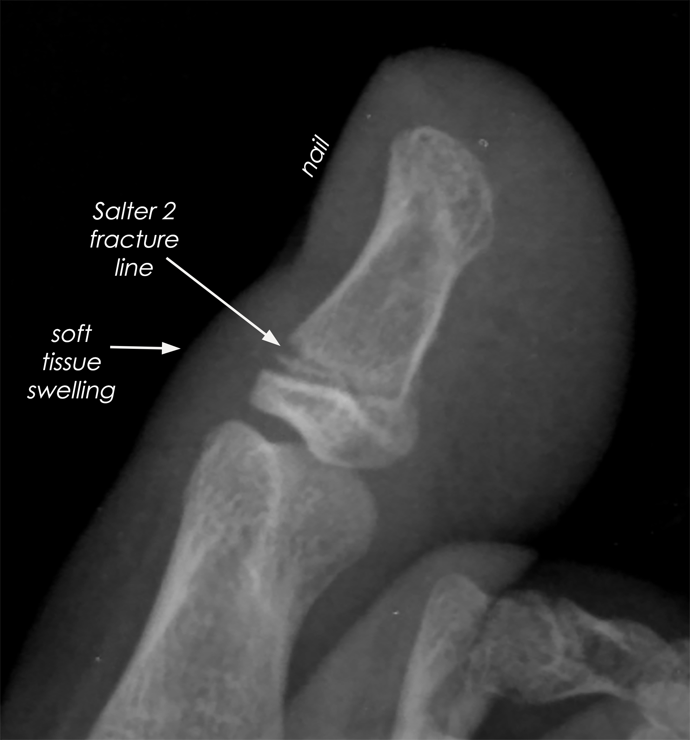
발가락 골절은 흔히 발생하는 상황입니다. 이유는 다양하게 있을 수 있으며, 대표적으로는 실내에서 물건에 부딪히거나 높은 곳에서 떨어지는 등의 사고가 있습니다. 이 외에도 스포츠 활동 중 부상을 당하거나 교통사고 등에서도 발가락 골절이 발생할 수 있습니다. 발가락 골절은 크게 뼈가 완전히 부러진 경우와 뼈에 금만 간 경우로 나눌 수 있으며, 이에 따라 치료 방법과 기간이 다릅니다.









발가락 골절의 치료 방법
- 깁스 치료: 뼈가 크게 부러진 경우에는 깁스로 고정하는 방법이 일반적입니다.
- 스플린트: 뼈에 금만 간 경우, 즉 미세한 골절의 경우에는 발가락용 스플린트로 치료가 가능합니다.
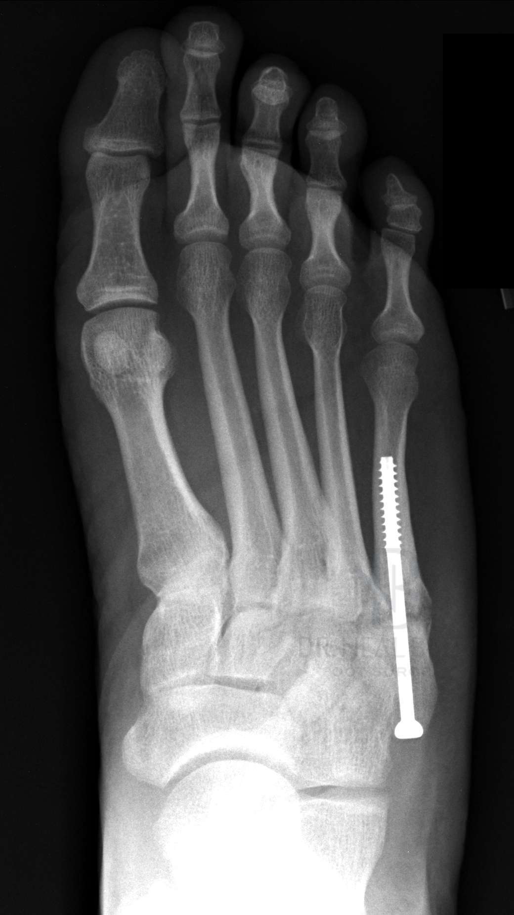
- 수술: 복합 골절이나 압박 골절의 경우에는 핀을 박는 수술이 필요할 수 있습니다.
- 금속판 사용: 뼈가 조각나거나 비스듬하게 부러진 경우에는 금속판을 덧대어 고정하기도 합니다.

발가락 골절 치료 기간과 비용
| 치료방법 | 치료 기간 | 비용 |
| 깁스 치료 | 일반적으로 6~8주 | 12-15만원 |
| 스플린트 | 약 4주 | 5만원 |
| 수술 | 추가 2-4주 | 60-150만원 입원비 포함 |
주의사항
- 의료보험에 가입되어 있다면 일부 비용을 보험에서 지원받을 수 있습니다.
- 실손보험에 가입되어 있는 경우, 위로금 형태로 일정 금액을 지원받을 수 있습니다.
- 최근의 보험 약관에서는 발가락과 손가락 골절이 골절진단금에서 제외되는 경우가 많으니, 약관을 꼼꼼히 확인하세요.
마치며
발가락 골절은 생각보다 흔한 상황이며, 골절의 정도에 따라 치료 방법과 기간, 그리고 그에 따른 비용이 크게 달라집니다. 따라서 발가락에 이상이 생겼다면 즉시 의료기관을 찾아 정확한 진단과 적절한 치료를 받는 것이 중요합니다. 특히, 보험에 가입되어 있다면 치료비 부담을 줄일 수 있으니, 보험 약관을 꼼꼼히 확인해 보는 것도 무척 중요합니다.
손가락 뼈에 금이 가면 깁스 치료 하나요?
그런 상황에서 어떤 치료가 필요한지 알아보자
손가락 뼈에 금이 간다는 것은 상당히 불편하고 아픈 경험일 수 있습니다. 이 상황에서는 어떤 치료 방법이 가장 적절한지, 그리고 이로 인한 비용은 얼마나 드는지에 대해 알아보겠습니다. 의료보험과 실손보험의 적용 여부, 그리고 다른 관련 정보까지 함께 알아봅시다.

골절의 종류와 치료 방법
손가락 뼈에 금이 간 경우, 그 정도에 따라 치료 방법이 달라질 수 있습니다.
- 단순 골절: 뼈가 깨지지 않고 비교적 완만하게 금이 간 경우에는 깁스로 고정해주기만 해도 충분할 수 있습니다.
- 복합 골절: 뼈가 여러 조각으로 깨져 있는 경우에는 핀이나 금속판을 사용하여 뼈를 고정해야 할 수 있습니다.
- 비스듬한 골절: 뼈가 비스듬하게 부러진 경우에도 핀을 사용하여 고정하는 것이 일반적입니다.

비용 문제: 수술과 보험
- 단순 골절: 깁스 치료의 경우 보험 적용 후 대략 10~30만 원 정도의 비용이 예상됩니다.
- 핀을 사용한 수술: 핀을 박는 수술의 경우, 핀고정 수술비용 및 입원 비용이 대략 100~150만 원 정도 나옵니다.
| 치료 방법 | 예상 비용 |
| 깁스 치료 | 10~30만원 |
| 핀 수술 | 100~150만원 |

보험 적용과 실손보험
보험 적용 여부는 상당히 중요한 문제입니다. 대부분의 의료보험은 골절 치료에 일부 적용되나, 실손보험의 경우 약관에 따라 다를 수 있습니다. 특히 발가락이나 손가락 골절은 일부 보험에서 골절진단금에서 제외되니, 약관을 잘 확인해야 합니다.
결론: 상황에 따라 다르다
손가락 뼈에 금이 간 경우 치료 방법과 비용은 상황에 따라 크게 달라질 수 있습니다. 단순 골절이라면 깁스 치료만으로도 충분할 수 있지만, 복합 골절이나 비스듬한 골절의 경우에는 수술이 필요할 수 있습니다. 비용 문제도 보험 적용 여부에 따라 크게 달라질 수 있으니, 자세한 상황을 파악한 후 적절한 치료를 선택하는 것이 중요합니다.
'건강정보 > 질환정보' 카테고리의 다른 글
| 골절의 종류와 이해: 폐쇄성 골절에서 개방성 골절까지 (0) | 2023.10.09 |
|---|---|
| 명절 증후군 예방과 극복방법 (0) | 2023.09.29 |
| 가슴이 답답하고 체한것같은 증상 명치가 꽉 막힌 느낌 (0) | 2023.08.15 |
| 갈비뼈 금이 갔을 때 빨리 낫는 법 (0) | 2023.08.03 |
| 외측부인대 전방십자인대 재건술 재활 타가건 수술 (0) | 2023.07.23 |